6go6ckt5b8|3000F7576AC3|Tab_Articles|Fulltext|0xf1ffe8ac360000009306000001000400
6go6ckt5b5idvals|3108
6go6ckt5b5|2000F757Tab_Articles|Fulltext
Introduction
Chorioretinal coloboma is a rare congenital defect characterized by the absence of a portion of the choroid and retina. It is due to an incomplete fusion of the fetal fissure of the optic cup, which results in the presence of a very thin layer of rudimentary retinal tissue with few blood vessels overlying the sclera [
1]. Coloboma can affect various parts of the eye in the same individual and is often associated with other ocular defects, such as microphthalmus, microcornea, cataract and optic pit. It is found in association with several congenital disorders with anomalies of one or more chromosomes, such as the following syndromes: Aicardi, CHARGE, Goldenhar, Joubert, Mohr-Clausen and Schmid-Fraccaro [
2].
Degree of visual impairment is influenced by many factors, such as size and extent of the colobomatous area, presence of anomalies of the globe and association with retinal detachment. Amongst frequent ocular complications associated with coloboma, there are refractive errors, which are generally managed with eyeglasses or contact lenses [
3]. To our knowledge, there are no data in the literature regarding the use of laser in situ keratomileusis (LASIK) to correct refractive errors in patients with chorioretinal coloboma. We report the case of a patient with congenital compound myopic astigmatism, associated to a bilateral chorioretinal coloboma, successfully treated with Femtosecond laser - LASIK.
Case Report
A 26–year-old Caucasian woman presented with congenital compound myopic astigmatism, associated to a bilateral chorioretinal coloboma. The patient was evaluated for refractive surgery based on her negative perception of optical devises, in terms of corrective capacity and comfort. Given the patient’s age and the stability of her refractive errors, we assessed all corneal parameters, confirming indication for LASIK. The patient also underwent a hearing test and general and cardiovascular examination, none of which showed pathological findings.
The complete ophthalmologic examination included visual acuity, anterior and posterior segment bio-microscopy. The pre-surgical examination was supported by optical coherence tomography, OCT (OCT-2000 Topcon®, Tokyo, Japan) and retinography. The fundus examination was performed with direct and indirect ophthalmoscopy, using 78-D and 20-D lens, respectively. Break up time (BUT) and Schirmer test were normal. Ocular examination revealed a high myopic astigmatism: -7.50 DS/-3.00 DC ×170 in the right eye (RE) and -7.50 DS/-3.00 DC ×180 to the best corrected visual acuity of 10/10 in both eyes. Pupillometry showed the following values: (i) on the RE, scotopic (0.04 lux) 5.50 mm, mesopic (4 lux) 3.38 mm, fotopic (40 lux) 2.51 mm; (ii) on the left eye (LE), scotopic (0.04 lux) 4.41 mm, mesopic (4 lux) 3.53 mm, fotopic (40 lux) 2.40 mm. Corneal tomography sagittal maps showed a compound astigmatism with the following keratometric data for the 3 mm Meridians: K1 = 47.42 D @169°; K2 = 49.70 D @79° (RE); K1 = 47.05 D @6°; K2 = 50.08 D @97° (LE) [Fig.1,2].

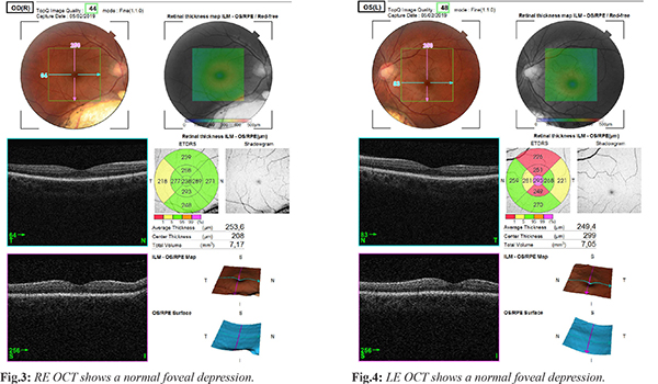
Intraocular pressure was estimated to be normal in both eyes (13 mmHg). The retinography revealed a bilateral coloboma on the lower sector of the retina without retinal detachment and an intact posterior pole with no involvement of the optic disc and the macula. The retinal average thickness with the OCT examination was 253.6 µm and 249.4 µm for RE and LE, respectively [Fig.3,4].

Ablation of the stromal bed was performed using VisuMax® femtosecond laser (Zeiss Meditec AG, Jena, Germany), model MEL80 Excimer ArF with 650 nm beam, 1043 nm wavelength, pulse duration 220-580 fs, pulse frequency 500 kHz. Pre-programed corneal flap thickness was 121 µm on RE (pachymetry 575 µm) and 129 µm on LE (pachymetry 568 µm). The treated optical zone diameter was 5.8 mm in both eyes. Following surgery, the patient was prescribed antibiotic eye drops (netilmicin) three times a day for one week, corticosteroid eye drops (loteprednol etabonate) three times a day for three weeks and hyaluronic acid eye drops (0,2%) five times a day for fifty days.
Four days after laser refractive surgery, natural vision was already 10/10 in both eyes and tonometry was normal. Two weeks post-surgery, corneal parameters improved, as shown in the corneal tomography sagittal map images, with the following 3 mm Meridian values: K1 = 40.53 D @125° (RE); K2 = 42.23 D @35° (RE); K1 = 42.41 D @69° (LE); K2 = 43.96 D @159° (LE). At the twelve-month follow-up, corneal tomography was repeated, confirming the stability of these values [Fig.5,6]. Four- and twelve-months post-surgery, the patient underwent OCT, retinography [Fig.7,8] and fundus examination, which detected no complications. The twelve month follow up visit confirmed the patient’s natural vision was 10/10 in both eyes. Intraocular pressure was 12 mmHg. The patient did not report side effects.
Discussion
We report the use of LASIK in a patient with refractive aberration linked to a congenital chorioretinal coloboma located in the lower segment of the posterior pole. In the present case LASIK was effective in correcting refractive errors and safe in terms of surgical complications and patient-reported side effects. We were able to apply current recommendations regarding minimum safe bed thickness: many surgeons suggest leaving at least 250 µm, our planned bed thickness was above 400 µm in both eyes. This is thought to contribute to post-operative corneal stability and decrease bulging and ectasia [
4].
Serious surgical complications following LASIK are rare and they can occur in the flap, interface, cornea and fundus of the eye [
5]. It is uncertain whether there is an increased incidence of retinal detachment (RD) following LASIK [
6]. Retrospective series suggest that there is not a relationship of cause and effect between the development of RD and LASIK performed on myopic eyes [
7,
8]. RD was a concern in terms of safety in this case, given the high risk of this complication in patients with coloboma. RD is reported in up to 42% of patients with retinal coloboma [
9,
10]. When the retina is affected, retinal detachments may occur on the transition zone [
11]. In the colobomatous area, the retinal tissue is thin and hypoplastic, the choroid and retinal pigment epithelium are not developed and the underlying sclera is thin and ectatic, producing a staphyloma. Retinal breaks within such abnormal tissue are difficult to identify because of the lack of contrast, limiting the accuracy of pre-surgical evaluation. These morphologic alterations can be a cause of concern when using LASIK, as this procedure produces mechanical stress in the eye in various ways: (i) suction increases intraocular pressure (>65 mmHg); (ii) the laser creates an acoustic shock wave; (iii) release of the suction ring results in a rapid decrease in intraocular pressure. It is very important to inform patients with chorioretinal coloboma of these uncertainties. In the present case, the patient’s choice was strongly influenced by her lack of satisfaction with optical devices in terms of corrective capacity and comfort.
Another possible cause for concern in terms of safety is related to the occurrence of posterior vitreous detachment (PVD) following LASIK treatment. Patient series reported PVD after LASIK in up to 85% of patients treated with femtosecond LASIK [
12]. PVD per se is generally not sight-threatening but in some cases it can cause damage to the retina due to the traction that may occur during collapse, with subsequent retinal tears and RD [
13].
Conclusion
To our knowledge, this is the first report regarding the use of Femto LASIK to correct refractive errors in colobomatous eyes. Larger patient series and longer follow-up are desirable to confirm our observation.
Contributors: GLG: manuscript writing, patient management; GM: manuscript editing, patient management; AT, AP: critical inputs into the manuscript. AT will act as a study guarantor. All authors approved the final version of this manuscript and are responsible for all aspects of this study.
Funding: None; Competing interests: None stated.
References
- Pagon RA. Ocular coloboma. Surv Ophthalmol. 1981;25:223-236.
- Wang K, Hilton GF. Retinal detachment associated with coloboma of the choroid. Trans Am Ophthalmol Soc. 1985;83:49-62.
- Chang L, Blain D, Bertuzzi S, Brooks BP. Uveal coloboma: clinical and basic science update. Curr Opin Ophthalmol. 2006;17:447-470.
- Seitz B, Torres F, Langenbucher A, Behrens A, Suárez E. Posterior corneal curvature changes after myopic laser in situ keratomileusis. Ophthalmology. 2001;108(4):666-672.
- Gimbel HV, Penno EE, van Westenbrugge JA, Ferensowicz M, Furlong MT. Incidence and management of intraoperative and early postoperative complications in 1000 consecutive laser in situ keratomileusis cases. Ophthalmology. 1998;105(10):1839-1847.
- Sugar A, Rapuano CJ, Culbertson WW, Huang D, Varley GA, Agapitos PJ, et al. Laser in situ keratomileusis for myopia and astigmatism: safety and efficiency. A report by the American Academy of Ophthalmology. Ophthalmology. 2002;109:175-187.
- Qin B, Huang L, Zeng J, Hu J. Retinal detachment after laser in situ keratomileusis in myopic eyes. Am J Ophthalmol. 2007;144(6):921-923.
- Faghihi H, Jalali KH, Amini A, Hashemi H, Fotouhi A, Esfahani MR. Rhegmatogenous retinal detachment after LASIK for myopia. J Refract Surg. 2006;22(5):448-452.
- Olsen TW. Visual acuity in children with colobomatous defects. Curr Opin Ophthalmol. 1997;8:63-67.
- Jesberg DO, Schepens CL. Retinal detachment associated with coloboma of the choroid. Arch Ophthalmol. 1961;65:163-173.
- Schubert HD. Structureal organization of choroidal colobomas of young and adult patients and mechanism of retinal detachment. Trans Am Ophthalmol Soc. 2005;103:457-472.
- Osman MH, Khalil NM, El-Agha MS. Incidence of posterior vitreous detachment after femtosecond LASIK compared with microkeratome LASIK. Cornea. 2017;36(9):1036-1039.
- Schweitzer KD, Eneh AA, Hurst J, Bona MD, Rahim KJ, Sharma S. Predicting retinal tears in posterior vitreous detachment. Can J Ophthalmol. 2011;46(6):481-485.